Todos os posts
Introdução Manter um protocolo de desinfecção bem estruturado é uma das principais exigências sanitárias para clínicas odontológicas. Além de garantir a segurança do paciente...
Introdução A biossegurança é um dos pilares fundamentais da prática odontológica moderna. Muito além da organização da clínica, ela envolve protocolos rigorosos de limpeza,...
Charisma® Bulk Flow ONE / GLUMA® Bond Universal/ GLUMA® Introdução: As resinas compostas são amplamente utilizadas na odontologia moderna por aliarem estética, adesividade e...
Charisma® Bulk Flow ONE / Charisma® Diamond / GLUMA® Bond Universal / GLUMA® Etch 35 Gel Introdução: A introdução da resina composta Charisma® Diamond...
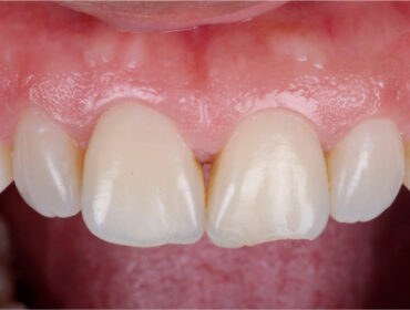
Resolução estética de fratura com a resina Charisma® Diamond “A resina Charisma® Diamond apresenta um sistema de cores completo, com uma solução interessante e...
Responsável Técnico Leonardo Gonçalves Cunha CRO-BA 14.203 • Mestre e Doutor em Odontologia Restauradora, UNICAMP, São Paulo. • Fellowship in Biomaterials, Oregon Health &...
Quando falamos de estética, muitas vezes o primeiro pensamento que vem à mente é a vaidade. Mas a verdade é que cuidar da aparência...
