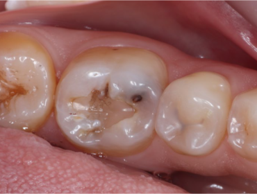
Casos Clínicos Charisma® Diamond ONE / GLUMA® Bond Universal postado em 4 de outubro de 20226 de setembro de 2023 Restauração Classe I com resina Charisma Diamond ONE.• Profa. Camila Centenaro Resumo:Fratura, desgaste, alteração de cor e lesões de cárie secundária são alguns problemas... Leia mais
Casos Clínicos Clareamento com a técnica combinada: versatilidade e conforto como aliados no clareamento de dentes vitais postado em 26 de julho de 20189 de agosto de 2018 Caso Clínico - Clareamento com a técnica combinada: versatilidade e conforto como aliados no clareamento de dentes vitais Leia mais
Casos Clínicos Possibilitando estética com resina composta após interrupção do tratamento ortodôntico postado em 13 de março de 201710 de agosto de 2018 Caso Clínico - Possibilitando estética com resina composta após interrupção do tratamento ortodôntico Leia mais