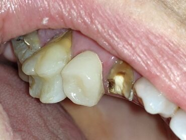
Resolução estética de fratura com a resina Charisma® Diamond “A resina Charisma® Diamond apresenta um sistema de cores completo, com uma solução interessante e...
Casos Clínicos
Responsável Técnico Leonardo Gonçalves Cunha CRO-BA 14.203 • Mestre e Doutor em Odontologia Restauradora, UNICAMP, São Paulo. • Fellowship in Biomaterials, Oregon Health &...
Quando falamos de estética, muitas vezes o primeiro pensamento que vem à mente é a vaidade. Mas a verdade é que cuidar da aparência...
No universo da odontologia restauradora, o polimento é um dos processos mais cruciais para garantir a qualidade e a durabilidade das restaurações. Um bom...
Reabsorção Radicular Interna – Relato de um caso clínico Drª Vanessa Pandolfi Pessotti CD, Especialista em Endodontia pelo CEO – IPSEMG – MG, Mestre...
PINOS DE FIBRA DE VIDRO: REVISÃO DE LITERATURA E CASO CLÍNICO (Splendor SAP®) ANA CAROLINA COSTA MATSUOKA CORREIA (Especialista em Endodontia) CLAUBER ROMAGNOLI **...
BIO-C TEMP (Medicação Intra-canal) Por: Dr. Victor Nóbrega A medicação intra-canal é utilizada em diversas situações do dia-a-dia clínico do endodontista. Durante anos, o...
Um novo modelo de retentor fibroresinoso intrarradicular para reabilitação de elementos fragilizados. Relato de caso clínico. Victor Nobrega Resumo A reabilitação de dentes tratados...
Reconstrução Biomimética de dentes tratados endodonticamente Silva CHV, Coutinho AVM, Dodoo DA, Falcão MCC*, Silva CHV Universidade Federal de Pernambuco Objetivo O objetivo deste...
Passo-a-Passo na cimentação de Pinos Exacto Autor: Marcos Barceleiro Especialista, Mestre e Doutor em Dentística pela UERJ Prof. Associado da Universidade Federal Fluminense, Campus...
