Responsável Técnico
Leonardo Gonçalves Cunha
CRO-BA 14.203
• Mestre e Doutor em Odontologia Restauradora, UNICAMP, São Paulo.
• Fellowship in Biomaterials, Oregon Health & Science University, USA.
• Professor Associado do Curso de Odontologia, Universidade Federal da Bahia, Bahia.
• Coordenador dos Cursos de Pós Graduação em Estética Odontológica, Santé Pós Graduação, Bahia.
• Pós Graduação em Saúde e Gestão, Bahia.
Caso clínico realizado pelos alunos:
Rafael Reis Silva Figueiredo (CRO-BA 2.2817) e Flayane Maryana Ferreira Lima (CRO-BA 2.1850)
CASO INICIAL

Fotos iniciais da paciente.
Paciente LSR, 26 anos, foi encaminhada para o Curso de Atualização em Estética Integrada para realização de procedimento restaurador estético após a finalização do tratamento ortodôntico.
A paciente apresentava elementos dentais anterossuperiores com pequena dimensão e volume reduzido, além de diastemas entre os elementos dentais 11/12, 12/13, 21/22 e 22/23.
Para a resolução do caso em questão foi realizado moldagem da paciente, obtenção de modelo de estudo e planejamento do caso via enceramento diagnóstico. Ao final desse etapa, foi confeccionada uma guia de silicona de condensação, seguindo passo a passo do protocolo adesivo e de estratificação como descrito abaixo.



Fotos intrabucais da paciente:
(A) Em oclusão;
(B) Vista frontal da arcada superior;
(C) Vista em lateralidade esquerda e direita da arcada superior.
SEQUÊNCIA DE HIBRIDIZAÇÃO E ESTRATIFICAÇÃO APLICADA PARA TODOS OS DENTES ENVOLVIDOS.

(D) Materiais utilizados para o procedimento restaurador adesivo.
(E) Considerando que o procedimento foi realizado totalmente sobre esmalte, este substrato foi condicionado com ácido fosfórico 35% por 20 segundos, seguido de lavagem contínua e abundante e secagem completa.
Após essa etapa, foi aplicado uma camada do agente adesivo Optibond FL sobre toda a área dental envolvida.
Encontre na Dental Sorria a Resina Harmonize e Adesivo Optibond FL
SEQUÊNCIA DE HIBRIDIZAÇÃO E ESTRATIFICAÇÃO APLICADA PARA TODOS OS DENTES ENVOLVIDOS.


(F) Confecção da concha palatina com resina de alta translucidez Harmonize Incisal Clear, determinando o novo comprimento final dos elementos dentais envolvidos.
(G) Aumento de volume vestibular da região cervical realizado totalmente com resina Harmonize A2D com redução gradativa da espessura dessa camada de resina até a porção mediana do elemento dental.
SEQUÊNCIA DE HIBRIDIZAÇÃO E ESTRATIFICAÇÃO APLICADA PARA TODOS OS DENTES ENVOLVIDOS.


(H) Recobrimento da camada de resina Harmonize A2D na porção mediana com a resina Harmonize A1D, levando esta camada de resina até em média 1,5 mm aquém da nova face incisal do elemento dental.
(I) Recobrimento de toda a face vestibular com a resina Harmonize XLE, finalizando o procedimento de estratificação.
SEQUÊNCIA DE HIBRIDIZAÇÃO E ESTRATIFICAÇÃO APLICADA PARA TODOS OS DENTES ENVOLVIDOS.


(J) Sequência de acabamento e polimento com os discos das 4 granulações do sistema OptiDisc (grosso, médio, fino e ultrafino).
Encontre na Dental Sorria o Disco de lixa Optidisc
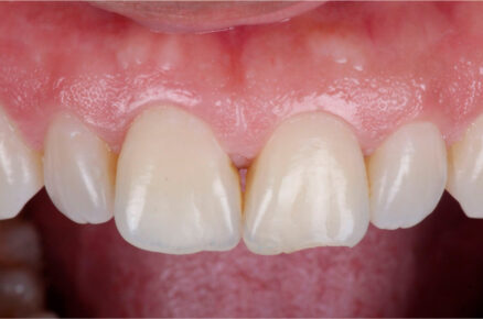
FOTO INTRABUCAL DO MOMENTO IMEDIATAMENTE APÓS OS PROCEDIMENTOS DE ACABAMENTO, TEXTURIZAÇÃO E POLIMENTO FINAL.

RESULTADO FINAL

Fotos finais da paciente após o procedimento restaurador estético.
