Resolução estética de fratura com a resina Charisma® Diamond
“A resina Charisma® Diamond apresenta um sistema de cores completo, com uma solução interessante e simplificada nas camadas de dentina, facilitando a escolha na hora de restaurar. Quando buscamos naturalidade e mimetização de dentes naturais, necessitamos de um sistema com diferentes cores, opalescência e translucidez, os quais encontramos na resina Charisma® Diamond. Eu utilizo há anos e indico as resinas do sistema Charisma® Diamond, as quais facilitam meu dia a dia clínico e proporcionam um excelente brilho com um polimento eficaz.”
Dr. João Manoel Nemitz
Cirurgião-dentista
Técnico em Prótesee Dentária
Especialista em Perio-implantodontia e Prótese
Mestrando em Implantodontia pela Faculdade de Odontologia – São Leopoldo Mandic
Materiais Utilizados: • Variotime® Easy Putty • Optosil® • Xantopren® • GLUMA® Etch 35% Gel • GLUMA® Bond Universal • Charisma® Diamond
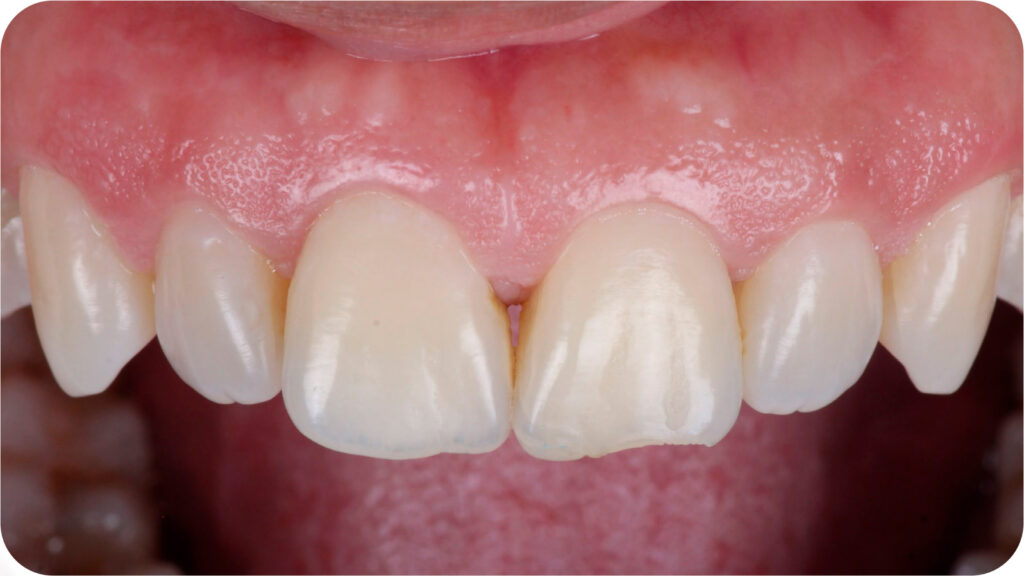
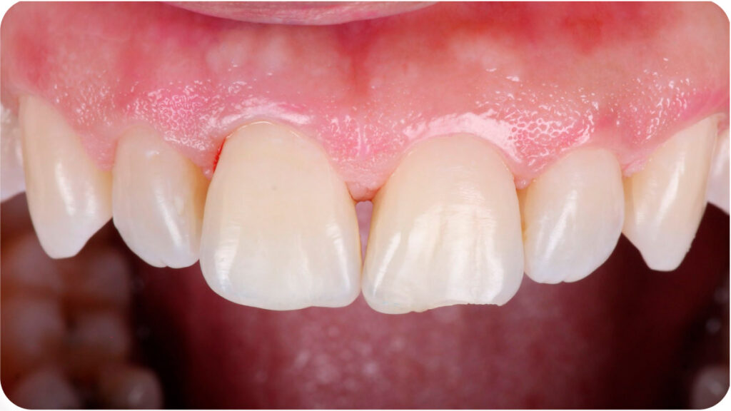
01 Descrição do caso
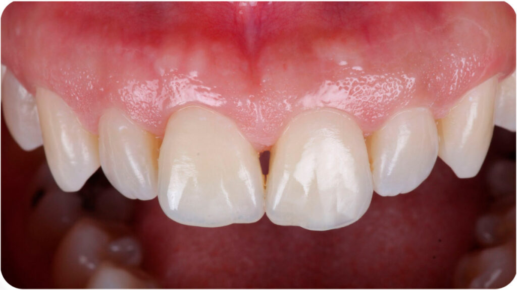
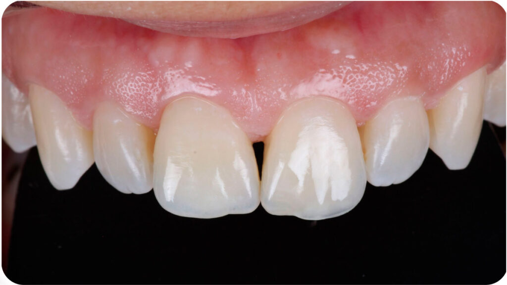
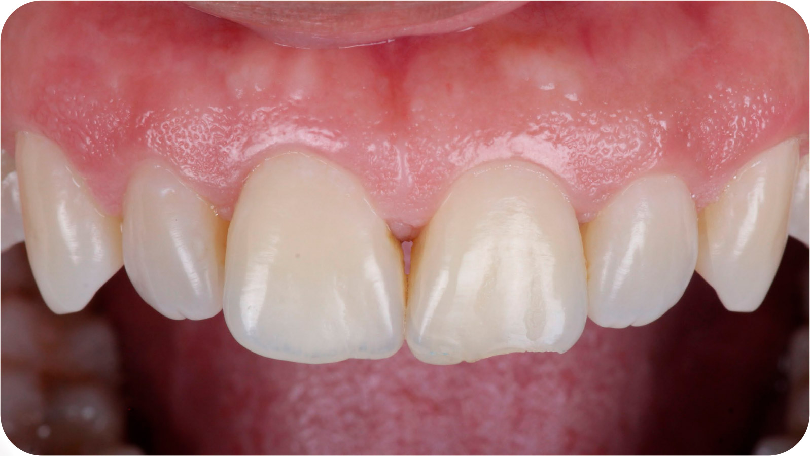
Paciente com queixa de fratura incisal do elemento 2.1 procurou o consultório com o desejo de corrigir a estética, com naturalidade, buscando as referências dos dentes adjacentes.

02 Limpeza do Substrato
Previamente, foi realizado uma profilaxia para remoção de placa bacteriana e obter uma adesão mais efetiva Aplicação de líquido evidenciador de placa bacteriana.

03 Resultado após a evidenciação.

04 Resultado após a profilaxia.

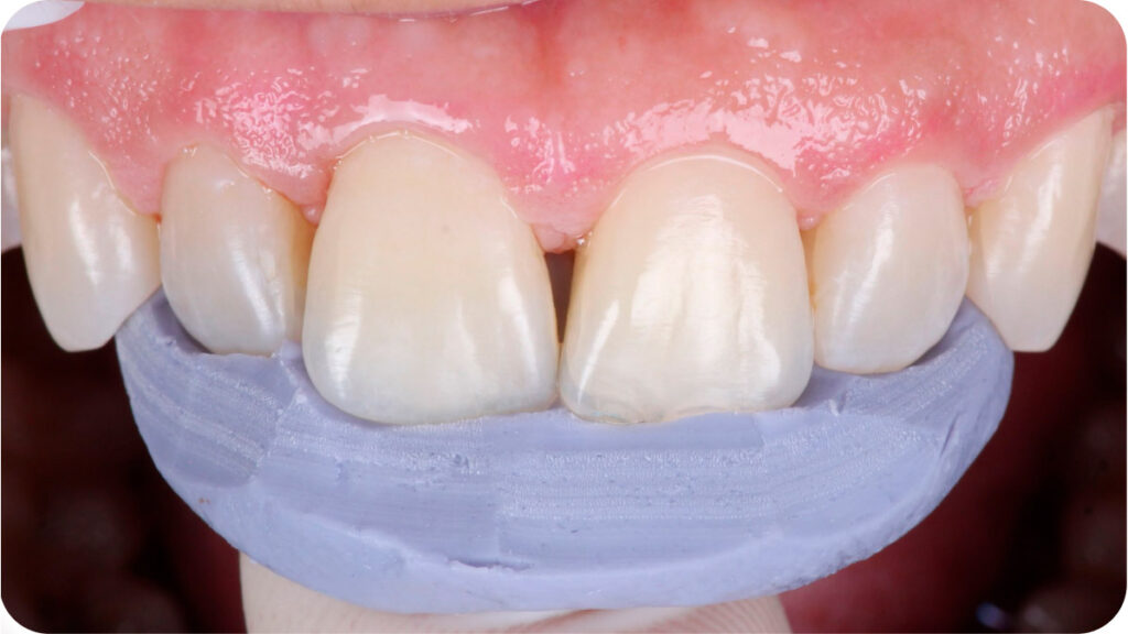
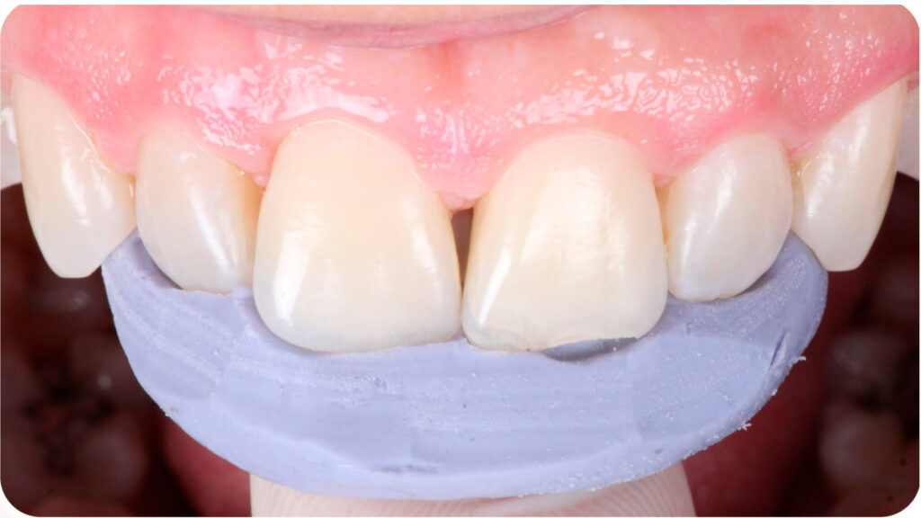
05 Matriz BRB
Previamente, foi realizado a moldagem palatina dos dentes com Variotime® Easy Putty (Kulzer), delimitado o formato mais próximo do dente adjacente e a personalização da matriz palatina com broca carbide. Abaixo, posicionamento da matriz na palatina:

06 Marcação da região de desgaste para adaptação da matriz.

07 Desgaste da matriz com broca carbide.

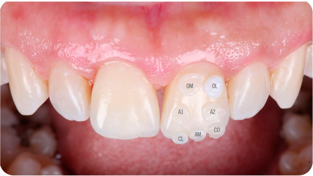
08 Seleção de Cor
Foi realizado uma seleção de cor com as cores de resinas (Charisma® Diamond) que mais se aproximavam do remanescente dental: OM e OL – Região Cervical; A1 e A2 – Terço Médio; CL, AM e CO – Incisal.

09 Isolamento Absoluto
Foi realizado um isolamento absoluto para controle dos fluídos e um bisel com discos abrasivos no remanescente dentário para melhor acomodação da resina composta.

10 Procedimento adesivo
Após isolamento absoluto, foi realizado um condicionamento ácido e aplicação do sistema adesivo (GLUMA® Bond5 – Kulzer), protegendo os dentes adjacentes e respeitando o tempo e aplicação de cada material. Abaixo, aplicação do GLUMA® Etch 35% – Kulzer

11 Aplicação do sistema adesivo GLUMA® Bond5 – Kulzer

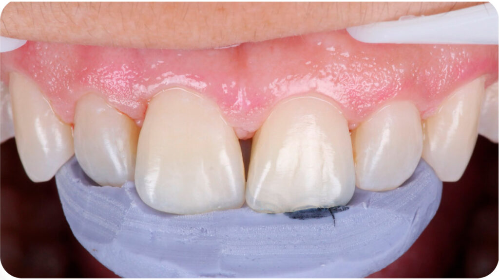
12 Prova da muralha palatina.

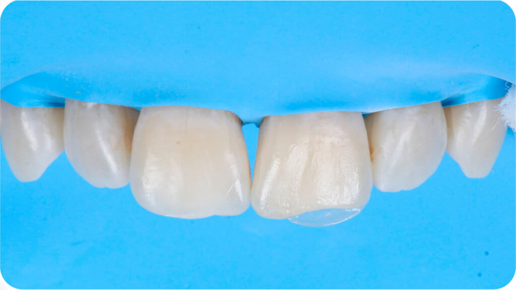
13 Camada palatina confeccionada com uma resina de alta translucidez
Charisma Diamond CL (Clear).

14 Estratificação
A estratificação foi realizada com as cores previamente selecionadas na seleção de cor (Charisma® Diamond nas cores OM, A2 e AM)

15 Finalização do processo de estratificação.

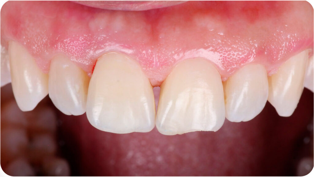
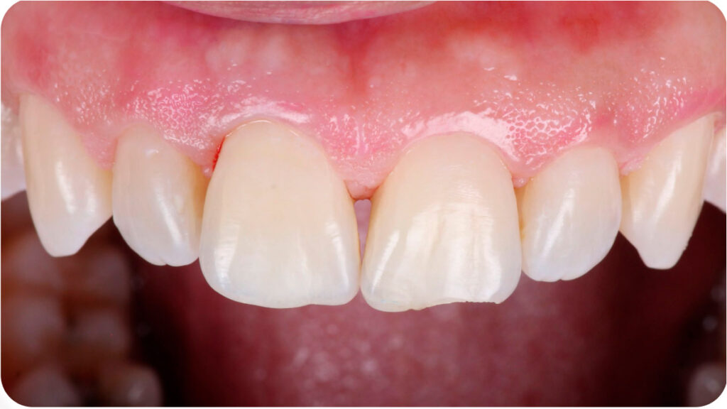
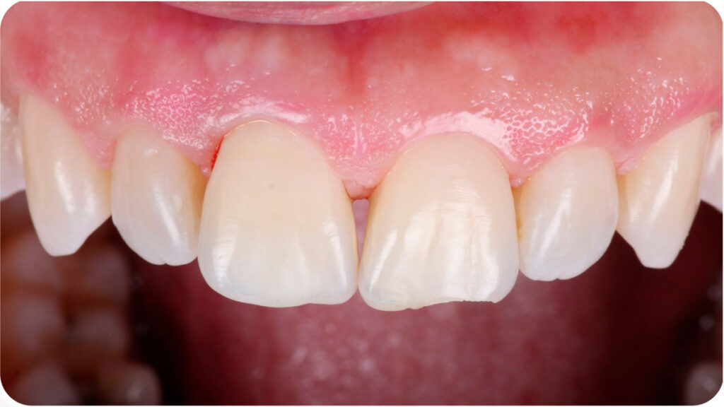
16 Acabamento e Polimento Final
O polimento final foi realizado na mesma consulta, utilizando principalmente discos abrasivos, brocas carbides e borrachas de polimento.
Aspecto Final após polimento e finalização – visualização por diferentes perspectivas:







Charisma® Diamond
Descubra a próxima dimensão de beleza natural

