Casos Clínicos

Charisma® Diamond ONE / GLUMA® Bond Universal / GLUMA® Etch 35 Gel

Reabilitação estética de dentes posteriores: dúvida de qual cor em qual dente?

Reabilitação estética de dentes posteriores: dúvida de qual cor em qual dente? Simplifique.
• Prof. Dr. Carlos Eduardo Francci

Relato do Caso Clínico:
Paciente 47 anos, com restaurações amálgama antigas deficitárias, com forte apelo por melhor estética. Procedemos anestesia infiltrativa com Articaína; remoção das restaurações amálgama com corte central e descolamento com ultrassom para evitar desgaste desnecessário das paredes cavitárias, seguindo um protocolo minimamente invasivo; limpeza cavitária e remoção de tecido cariado; procedimentos adesivos com condicionamento ácido seletivo de esmalte e aplicação de GLUMA® Bond Universal – Kulzer com aplicação ativa; reconstrução com Charisma® Diamond ONE – Kulzer, respeitando camadas de no máximo 2mm de espessura; ajuste oclusal com acabamento e polimento.

Materiais Utilizados:
• Charisma® Diamond ONE (ver na loja)
• GLUMA® Bond Universal (ver na loja)
• GLUMA® Etch 35 Gel (ver na loja)

Autor:
• Prof. Dr. Carlos Eduardo Francci
Mestre, Doutor e Livre-Docente em Materiais Dentários pela Universidade de São Paulo
Professor Doutor do Departamento de Biomateriais e Biologia Oralda Universidade de São Paulo

Reabilitação estética de dentes posteriores: dúvida de qual cor em qual dente? Simplifique.

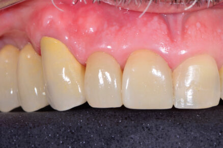
Fotos do caso:

Conclusão:
O paciente se surpreendeu com a rapidez do procedimento, visto que foram restaurados quatro dentes em uma única sessão, e elogiou o resultado estético por apresentar interfaces imperceptíveis. Ficou mais surpreso por informarmos que foi utilizada apenas uma cor.

Deixe um comentário

Você pode gostar

Leia mais